图像信息团队概况
太阳网集团tcy8722图像信息研究团队主要从事图像信息获取、压缩编码及传输、图像处理与模式识别、计算机视觉等方面的基础研究和应用研发工作。还在控制技术、计算机技术、通信与网络系统、高性能嵌入式系统等方面开展了大量的工作。团队科研条件优越,实验环境良好,研究实力雄厚。研究人员中有教授4名,博士生导师3名,副教授6名,其中到国外知名高校和研究机构留学、访问人员7名。近年来,大部分教师到国外知名高校和研究机构留学或进行学术交流活动。已培养博士生20余人,硕士生300余人。现有在读博士生近20名、硕士生80多人。研究生招生专业有通信与信息系统、智能信息系统、电路与系统、电子与通信工程等。研究所负责人为博士生导师何小海教授。
主要研究人员承担或参与了国家自然科学基金重大国际合作项目、863重大项目、欧盟国际合作项目、国家自然科学基金、教育部重点项目等科研工作。通过技术鉴定的项目10多项,获各级科技进步奖10项, 在国际国内学术刊物上发表论文500多篇,如IEEE Transactions on Image Processing、IEEE Transactions on Multimedia、Image and Vision Computing、Optical Engineering、Journal of Electronic Imaging、Neurocomputing、Physical Review E等。出版专著及教材10本。主持召开国际研讨会5次,全国性行业研讨会5次。
团队十分重视科技成果的推广及应用,将高校雄厚的科研实力和企事业单位的应用需求紧密结合,研发出了大量适合市场的高科技产品,还参与了国家和行业多项标准的制定工作,开发的各种图像分析系统达到国际先进水平,已广泛应用于机械冶金、石油地质、生物医学、材料分析、智能交通、智能监控、国家安全等领域,现有用户400多家,并推广到国外应用,享有较高的声誉。
联系方式:
太阳网集团tcy8722望江校区,基础教学楼B座5楼501-510
电话:028-85462766
邮箱:nic5602@scu.edu.cn
团队成员介绍
研究项目100多项,以下为代表性项目:
1、国家自然科学基金项目“激光共焦三维生物医学图象处理与识别的研究”,30070228
2、国家自然科学基金项目“计算光学切片显微三维成像技术的研究”,60372079
3、国家自然科学基金项目“心肌细胞的激光共焦三维动态图象分析及数学模型研究”,30470491
4、国家自然科学基金项目“基于二维图像的砂岩结构三维重建及特性分析”,60972130
5、国家自然科学基金项目“多视频时空超分辨率重建技术研究” 61071161
6、国家自然科学基金项目“移动对象异常行为自动识别技术研究”, 11176018
7、国家自然科学基金项目“腰椎有限元模型拓展及踩跷对腰部应力应变时效研究”
8、国家自然科学基金项目“面向WMSN的分布式多视点视频编码及鲁棒传输关键技术研究”,61201388
9、国家自然科学基金项目“岩石微观非均质结构三维图像重建及分辨率提升技术研究”,61372174
10、国家自然科学基金项目“结合超分辨率重建的图像及视频新型压缩编码技术研究”,61471248
11、国家自然科学基金项目“信息与通信技术在家庭和城市老龄群体健康中应用的关键技术研究”61681330234
12、国家自然科学基金项目“信息与通信技术在山区自然灾害救援中的应用” ,61881330160
13、国家自然科学基金项目“面向城市公共空间规划的视频分析及活力量化预测研究”,61871278
14、国家自然科学基金项目“联合模型先验与学习先验的高性能超分辨率重建技术”,61801316
15、国家自然科学基金项目“结合噪声特性的压缩图像/视频后处理与超分辨率重建技术研究”,61871279
16、国家自然科学基金项目“信息与通信技术在环境保护与污染监测中的应用”, 62081330105
17、教育部重点项目“视频超分辨率重建关键技术研究”,107094
18、国家高技术研究发展计划(863计划)重大项目“基于时空分流管理模式的RFID技术在自然生态保护区和地震遗址的应用研究”,2008AA04A107
19、国家自然科学基金重大国际合作项目“面向西部旅游经济与生态环境可持续发展的低碳景区集成管理模式研究”,71020107027
20、教育部博士点基金“基于多终端信源编码的分布式多视点视频编码研究”,20110181120009
21、欧盟国际合作项目“S2EuNet:异构网络中多媒体信息的处理及传输”
21、四川省科技攻关项目“岩心扫描分析及数据库综合管理系统”
22、四川省科技支撑项目“岩屑高清图像采集及综合分析管理系统” ,2010GZ0167
23、与上海卫星工程研究所、中国信息安全测评中心等研究机构合作项目10 多项
24、与中石油、中石化、中海油、中国地质研究院、国土资源实物地质资料中心等多家企业合作项目100余项
代表性论文
在国际国内学术刊物上发表论文500多篇,部分代表性论文:
1. Y. Wu, X. He*, T. Q. Nguyen. Moving Object Detection With a Freely Moving Camera via Background Motion Subtraction[J]. IEEE Transactions on Circuits and Systems for Video Technology, 2017, 27(2): 236-248
2. T. Li, X. He*, Q. Teng, et al. Rotation expanded dictionary-based single image super-resolution[J]. Neurocomputing, 2016, 216: 1-17.
3. Y. Wu, X. He, B. Kang, et al. Long-Range Motion Trajectories Extraction of Articulated Human Using Mesh Evolution[J]. IEEE Signal Processing Letters, 2016, 23(4): 507-511.
4. Z. Liang, X. He*, Z. Wang, Q. Tao. Combining coarse and fine registration for video frame super-resolution reconstruction. Journal of Electronic Imaging, 2014, 23(6).
5. T. Li, X. He*, Q. Teng, Z. Wang, C. Ren, Space-time super-resolution with patch group cuts prior. Signal Processing: Image Communication, 2015, 30, 147-165.
6. P. Karn, X. He*, S. Yang, X. Wu, Iris recognition based on robust principal component analysis, Journal of Electronic Imaging,2014,23 (6).
7. G. Zhong, X. He*, L. Qing, Y. Li, A novel scanning pattern for entropy coding under non-square quadtree transform (NSQT),OPTIK,2014,125 (19),5651-5659.
8. X. Li, X. He*, X. Wu, Z. Wang, Texture-intensity-based fast coding unit size determination method for high-efficiency video coding intracoding, Journal of Electronic Imaging,2014, 23 (5).
9. Ren C, He X, Teng Q, et al. Single image super-resolution using local geometric duality and non-local similarity[J]. IEEE Transactions on Image Processing. 2016, 25(5): 2168-2183. (SCI: 000373131000016)
10. Ren C, He X, Nguyen T Q. Single image super-resolution via adaptive high-dimensional non-local total variation and adaptive geometric feature[J]. IEEE Transactions on Image Processing. 2017, 26(1): 90-106. (SCI: 000402822500007)
11. Ren C, He X, Pu Y, et al. Enhanced Non-Local Total Variation Model and Multi-Directional Feature Prediction Prior for Single Image Super Resolution[J]. IEEE Transactions on Image Processing. 2019, 28(8): 3778-3793. (SCI: 000471715300009)
12. Ren C, He X, Pu Y, et al. Learning Image Profile Enhancement and Denoising Statistics Priors for Single-Image Super-Resolution[J]. (DOI: 10.1109/TCYB.2019.2933257) IEEE Transactions on Cybernetics,2019
13. Ren C, He X, Nguyen T Q. Adjusted non-local regression and directional smoothness for image restoration[J]. IEEE Transactions on Multimedia, 2019, 21(3): 731-745. (SCI: 000460333800017)
14. Chen Honggang, He Xiaohai*, An Cheolhong, Nguyen Truong Q. Adaptive image coding efficiency enhancement using deep convolutional neural networks [J]. Information Sciences, 2020, 524: 298-317.
15. Chen Honggang, He Xiaohai*, Teng Qizhi, Sheriff Raymond E., Feng Junxi, Xiong Shuhua. Super-resolution of real-world rock microcomputed tomography images using cycle-consistent generative adversarial networks [J]. Physical Review E, 2020, 101(2): 023305.1-023305.15.
16. Chen Honggang, He Xiaohai*, An Cheolhong, Nguyen Truong Q. Deep wide-activated residual network based joint blocking and color bleeding artifacts reduction for 4: 2: 0 JPEG-compressed images [J]. IEEE Signal Processing Letters, 2019, 26(1): 79-83.
17. Chen Honggang, He Xiaohai, Qing Linbo, Xiong Shuhua, Nguyen Truong Q. DPW-SDNet: Dual pixel-wavelet domain deep CNNs for soft decoding of JPEG-compressed images [C]. IEEE Conference on Computer Vision and Pattern Recognition Workshops (CVPRW), 2018: 8240-8249.
18. Chen Honggang, He Xiaohai*, Ren Chao, Qing Linbo, Teng Qizhi. CISRDCNN: Super-resolution of compressed images using deep convolutional neural networks [J]. Neurocomputing, 2018, 285: 204-219.
19. Chen Honggang, He Xiaohai*, Qing Linbo, Teng Qizhi, Ren Chao. SGCRSR: Sequential gradient constrained regression for single image super-resolution [J]. Signal Processing: Image Communication, 2018, 66: 1-18.
20. Chen Honggang, He Xiaohai*, Qing Linbo, Teng Qizhi. Single image super-resolution via adaptive transform-based nonlocal self-similarity modeling and learning-based gradient regularization [J]. IEEE Transactions on Multimedia, 2017, 19(8): 1702-1717.
21. Chen Honggang, He Xiaohai*, Teng Qizhi, Ren Chao. Single image super resolution using local smoothness and nonlocal self-similarity priors [J]. Signal Processing: Image Communication, 2016, 43: 68-81.
22. Junxi Feng, Qizhi Teng*, Xiaohai He, Yang Li, Xiaohong Wu. Accelerating multi-point statistics reconstruction method for porous media via deep learning[J]. Acta Materialia, 2018, 159: 296-308.(SCI检索:000445986300027,中科院一区top期刊,IF:7.293)
23. Yang Li, Qizhi Teng*, Xiaohai He, Junxi Feng, Shuhua Xiong. Super-dimension-based three-dimensional nonstationary porous medium reconstruction from single two-dimensional image[J]. Journal of Petroleum Science and Engineering, 2019, 174: 968-983.(SCI检索:000456963200082,中科院二区,IF:2.886)
24. Yukai Wang, Qizhi Teng*, Xiaohai He, Junxi Feng, Tingrong Zhang. CT-image of rock samples super resolution using 3D convolutional neural network[J]. Computers & Geosciences, 2019, 133: 104314.(SCI检索:000518595000012,中科院二区,IF:2.721)
25. Yang Li, Qizhi Teng*, Xiaohai He, Chao Ren, Honggang Chen, Junxi Feng. Dictionary optimization and constraint neighbor embedding-based dictionary mapping for superdimension reconstruction of porous media[J]. Physical Review E, 2019, 99(6): 062134.(SCI检索:000473030900001,中科院三区,IF:2.353)
26. Junxi Feng, Qizhi Teng*, Xiaohai He, Linbo Qing, Yang Li. Reconstruction of three-dimensional heterogeneous media from a single two-dimensional section via co-occurrence correlation function[J]. Computational Materials Science, 2018, 144: 181-192.(SCI检索:000424902300025,中科院三区,IF:2.644)
27. Kai Ding, Qizhi Teng*, Zhengyong Wang, Xiaohai He, Junxi Feng. Improved multipoint statistics method for reconstructing three-dimensional porous media from a two-dimensional image via porosity matching[J]. Physical Review E, 2018, 97(6): 063304.(SCI检索:000436041200010,中科院三区,IF:2.353)
28. Mingliang Gao, Qizhi Teng*, Xiaohai He, Junxi Feng, Xue Han. Evaluating the morphological completeness of a training image[J]. Physical Review E, 2017, 95(5):053306. (SCI 检索: 000408781800007,中科院三区,IF:2.353)
29. Mingliang Gao, Qizhi Teng*, Xiaohai He, Chen Zuo, Zhengji Li. Pattern density function for reconstruction of three-dimensional porous media from a single two-dimensional image[J]. Physical Review E, 2016, 93(1):012140.(SCI 检索:000368518900003,中科院三区,IF:2.353)
30. Linbo Qing,Wenjun Zeng, Context-adaptive modeling for wavelet domain distributed video coding. IEEE MultiMedia, 2014,21(4): 84-93. (SCI检索: 000344995000011)
31. Linbo Qing,Xiaohai He,Xianfeng Ou,Rui Lv. Distributed video coding based on multiple-source correlation model. Applied mathematics & Information Sciences, 2013, 4(7): 1609-1614 . (SCI检索: 000321533200047)
32. Linbo Qing,Enrico Masala,Xiaohai He. Practical distributed video coding in packet lossy channels, Optical Engineering, 2013,52(7):071506-071506 . (SCI检索: 000319445800024)
授权的国家发明专利
1 |
透射光源下提升图像对比度的光学系统与图像采集装置 |
2 |
一种基于功率谱分析的强适用性图像增强方法 |
3 |
基于空间相对高度信息的多聚焦图像边缘检测方法 |
4 |
基于三维图像信息处理的岩心裂缝识别方法 |
5 |
基于时域相关性的高性能视频编码帧间模式判决方法 |
6 |
从H.264/AVC标准到HEVC标准的快速帧间转码方法及其转码器 |
7 |
从H.264/AVC标准到HEVC标准的快速帧内转码方法及其转码器 |
8 |
结合超分辨率重建的视频图像压缩方法 |
9 |
岩心三维图像修复方法 |
10 |
一种自适应群体异常行为分析方法 |
11 |
一种基于SOBS和GMM的遗留物检测方法 |
12 |
基于时域相关性的高性能视频帧间编码方法及其转码器 |
13 |
一种岩石CT图像目标分割方法 |
14 |
基于HEVC降视频分辨率的快速帧间转码的方法 |
15 |
一种三维岩心图像孔隙和喉道的分割方法 |
16 |
三维CT岩心图像超分辨率重建 |
17 |
基于岩心二维颗粒图像的三维颗粒结构重建方法 |
18 |
用于多孔介质三维重构的模式密度函数模拟方法 |
19 |
一种基于单目摄像头三维测距模型的测高测面积方法 |
20 |
基于梯度的自适应高性能视频编码码率控制方法 |
21 |
基于块自适应采样和超分辨率重建的低码率图像编码方法 |
22 |
一种基于自适应稀疏域编码的指纹图像压缩方法 |
23 |
基于小波域残差的分布式视频编解码方法 |
24 |
基于视频内容复杂度自适应的极低延迟高性能视频编码帧内码率控制方法 |
25 |
一种基于预测残差的DVC-HEVC视频转码方法 |
26 |
基于学习的多孔介质超维重建方法 |
27 |
一种用于改善视频中运动目标检测性能的阴影去除方法 |
28 |
一种基于分层WZ帧的小波域分布式多视点视频编码 |
29 |
结合深度学习与梯度转换的单幅图像超分辨率重建方法 |
30 |
一种基于联合正则化的视频超分辨率重建方法 |
31 |
一种融合超分辨率技术和JPEG2000标准的单幅彩色图像压缩编码方法 |
32 |
基于UDCT和PCNN的可见光与红外图像融合算法 |
33 |
基于小波域的分布式视频编码关键帧丢失错误保护方法 |
34 |
基于机器学习的高性能视频转码方法及其转码器 |
35 |
基于Sobel算子和线性回归的高清视频编码码率控制算法 |
36 |
基于多种互补先验的视频超分辨率重建算法 |
37 |
一种三维岩石图像裂缝识别方法 |
38 |
基于帧率变换的高性能视频编码改进方法 |
39 |
基于HEVC帧内交错预测的降码率算法 |
40 |
一种结合超分辨率重建的超高清视频新型压缩框架 |
41 |
基于多层梯度约束回归的单幅图像超分辨率重建方法 |
42 |
基于加权重叠非局部回归先验的单幅图像超分辨率重建方法 |
43 |
一种基于关键帧编码单元划分模式的DVC-HEVC视频转码方法 |
44 |
基于深度卷积神经网络的静止图像压缩方法 |
部分科研成果展示
1、图像及视频超分辨率重建
用一幅或多幅低分辨率的图像重建出一幅高分辨率图像,用一个或多个低分辨率视频序列重建出高分辨率视频序列。 |

(a)实物照片 (b)放大效果 (c)重建效果


2、智能监控及视频分析
群体、单个异常行为识别,重点区域异常情况检测,异常物品检测,行人重识别等。 |
3、图像编解码及传输
新一代视频编码技术(标准),图像/视频转码等
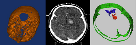
4、三维图像重建及分析
三维重建是指对三维物体建立适合计算机表示和处理的数学模型,是在计算机环境下对其进行处理、操作和分析其性质的基础,也是在计算机中建立表达客观世界的虚拟现实的关键技术。


5、计算机视觉、模式识别
车牌识别、车流量检测、字符识别、人脸识别、人流量检测、指纹识别、虹膜识别等

人脸识别
基于人眼的人脸识别AI换脸检测
6、硬件平台设计与开发
基于交换结构的高速图像处理平台 该平台的层数为20层,其中有8个信号层,8个地层,4个电源层。


7、人工智能与大数据分析
人物组织关联分析与推理

全球公共空间态势感知与预测
8、石油地质图像处理应用系统开发
主办国际研讨会
国内外专家学者来访
员工、教师出国交流
联合培养博士研究生
与美国霍普金斯大学、纽约州立大学石溪分校、加州大学圣地亚哥分校、宾夕法尼亚州立大学等著名大学联合培养博士研究生
硕士研究生毕业推荐到国外高校攻读博士学位:
Michigan State University、Texas A&M University、University of Western Australia、Vanderbilt University、New York University等
研究生就业工作:
微软,Intel,百度,腾讯,华为,中兴 ,阿里巴巴等
中电集团10所、29所、30所、54所等
电信、移动、联通、各大银行等
航天、航空相关单位
研究生学习、工作、业余生活花絮